El desafío de tratar a los heridos en Franja de Gaza

Surgeries in Al-Awda Hospital

A raíz de las protestas de la Gran Marcha del Retorno en Franja de Gaza, nuestros equipos en el enclave palestino se enfrentan a la ardua labor de reemplazar los centímetros de huesos que han sido pulverizados por las balas israelíes en los cuerpos de los manifestantes.

A raíz de las protestas de la Gran Marcha del Retorno en Franja de Gaza, nuestros equipos en el enclave palestino se enfrentan a la ardua labor de reemplazar los centímetros de huesos que han sido pulverizados por las balas israelíes en los cuerpos de los manifestantes.
 
Sin embargo, los limitados recursos disponibles en el sitio hacen que sea imposible proporcionar una solución viable para muchos de ellos, por lo que las referencias a hospitales en el extranjero son una parte necesaria de la ecuación.
 
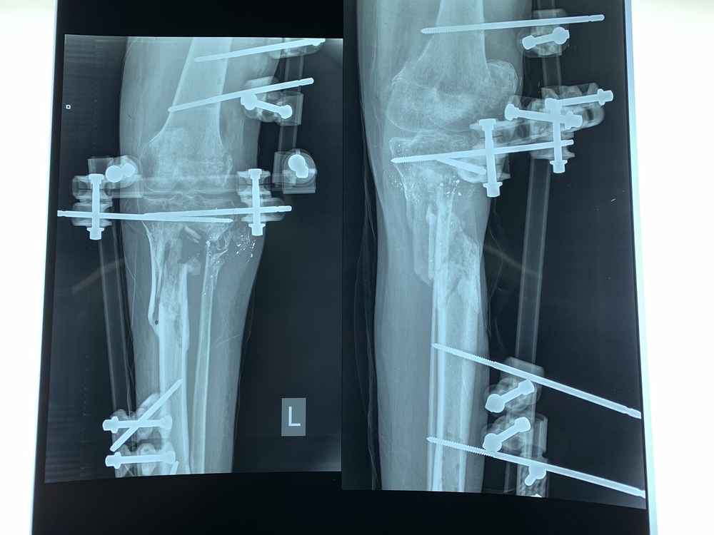
Dos centímetros parecen poco. Sin embargo, cuando se trata de una pierna, dos centímetros de hueso perdido dejan un gran hueco, especialmente cuando la causa es una bala que gira y se abre paso a través del cuerpo. Eso fue evidente en el hospital al-Awda en Jabalia, en el norte de Franja Gaza, cuando nuestros cirujanos abrieron la espinilla de Yousri *.
 

Cirugías delicadas para curar huesos rotos

 
El ejército israelí le disparó a Yousri durante las protestas en julio de 2018, y la bala causó que su pierna terminara con una gran porción de hueso perdido justo debajo de la rodilla. El trabajo de los cirujanos consistió en tomar fragmentos de hueso de la cadera de Yousri para llenar ese vacío y ayudarlo a caminar nuevamente.
 
La cirugía ortopédica es un contraste entre la precisión y el poder: la Dra. Hiroko Murakami, una cirujana de MSF originaria de Japón, primero cortó cuidadosamente la piel con su bisturí, exponiendo delicadamente el hueso. Después usó un martillo y un cincel para cortar una parte considerable de la cadera, a la que cuidadosamente le dio forma y posteriormente colocó en la pierna de Yousri.
 
“El hueso tardará al menos dos o tres meses en fusionarse”, explicó Murakami, “y podría ser un proceso más largo. Después de ese tiempo veremos si todo está bien y, si es el caso, podremos quitar el fijador externo y el paciente podrá comenzar la fisioterapia. Por lo tanto, todavía le llevará mucho tiempo recuperarse ".
 

MSF atiende a la mitad de los heridos.

 
Desafortunadamente, su caso era relativamente simple, por muy espantoso que fuera el hueco que dejó la bala en el hueso de Yousri. En las protestas realizadas a lo largo de la cerca que separa a la Franja de Gaza de Israel desde el 30 de marzo de 2018, 6,174 personas han resultado heridas por las balas disparadas por el ejército israelí. Casi el 90 por ciento de ellos resultaron heridos en las extremidades inferiores. 
 
Hemos atendido a cerca de la mitad de los heridos después de su tratamiento inicial en hospitales locales, y las heridas que hemos observado han sido inusualmente graves. En la mitad de los casos, los pacientes tienen fracturas abiertas complejas, en las que el hueso está expuesto al aire; y hay un daño severo en los tejidos y nervios en la mayoría de los demás. A muchos pacientes les faltan grandes porciones de los huesos de sus piernas: si dos centímetros dejan un agujero tan grande, imaginen el hueco que dejan 10 centímetros.
 
 

Casos complicados, tratamiento complicado

 
Cuando el hueco es más grande, como los seis centímetros que le a faltan Salim* en la espinilla, entonces no es posible hacer un injerto de hueso inmediatamente. El Dr. Mohammed Obaid, uno de nuestros cirujanos en Franja de Gaza, nos explicó que este era un caso complicado.
 
"Había un área abierta: el paciente tenía una herida abierta, sin piel, así que el cirujano plástico realizó una cubierta de músculo (obtenido de otra parte de la pierna) hace cuatro semanas", dijo el Dr. Obaid. "Ahora abriremos la herida de nuevo, la limpiaremos y pondremos cemento óseo dentro".
 
Este cemento es una masa con un fuerte olor parecido al de la gasolina. Al principio es maleable, así que los cirujanos lo masajean en el hueco del hueso y lo moldean en la forma requerida. El cemento se endurece rápidamente y, en un lapso de seis a ocho semanas, prepara el área para recibir un injerto óseo.
 
"Cuando estamos seguros de que no hay infección en el hueso, y que el colgajo con el que hemos cubierto la herida es bueno, podemos reabrir el área, extraer el cemento y colocar el hueso", explicó el Dr. Obaid.
 

Los heridos graves necesitan tratamiento especializado fuera de Franja de Gaza

 
Sin embargo, para los pacientes con casos más graves, el tratamiento que necesitan es muy difícil de conseguir en Franja de Gaza, un área densamente poblada que ha estado bloqueada durante los últimos 10 años y aislada durante mucho más tiempo. Por lo tanto, también estamos derivando pacientes de Franja de Gaza a nuestro hospital de cirugía reconstructiva en Amman, Jordania. Es un proceso complicado para el que se requiere un permiso de viaje emitido por parte de diferentes autoridades: permiso que, a menudo, se niega.
 
Sin embargo, recientemente pudimos enviar a nuestro primer paciente herido en las protestas, Eyad (22 años), fuera del enclave. Le dispararon el 14 de mayo, el día más sangriento de las protestas, y necesita un injerto óseo y una cirugía reconstructiva para reparar el daño en su pierna. El sistema de salud en Franja de Gaza actualmente solo puede ofrecer este tipo de cirugía a muy pocos pacientes.
 
"Un día, la semana pasada, estaba cansado y deprimido porque el tratamiento para mi pierna parecía muy lejano", dijo Eyad. "Sin embargo, en la tarde del mismo día, MSF me llamó y me dijo: 'Eyad, viajarás el jueves’. Desde ese momento, la felicidad creció dentro de mí, y no solo para mí, sino para mi madre, hermanos, familia y todos mis seres queridos. No puedo creerlo".
 
Ahora, en el hospital de Amman, ha comenzado el largo proceso de reconstrucción de los huesos de sus piernas, una serie de operaciones que con suerte lo regresarán a su vida normal.
 
 

Más pacientes, más retrasos, más riesgos

 
Muchos otros pacientes aún necesitan atención médica continua; sin embargo, con el paso del tiempo esto multiplica el riesgo de infección y la posibilidad de que algunos pacientes pierdan sus extremidades. En MSF seguimos cuidando a 900 personas con heridas de bala en Franja Gaza. Aunque ese número es menor que el número durante el pico de las protestas, estamos realizando más operaciones ahora que nunca: 302 en diciembre de 2018, en comparación con 109 en abril del mismo año. Esto muestra cómo evolucionan las necesidades quirúrgicas de los heridos más graves al pasar el tiempo.
 
Los riesgos médicos, cada vez más graves y urgentes para los heridos en las protestas desde marzo, son la razón por la que estamos ampliando nuestras instalaciones en Franja de Gaza y tratando de enviar a más pacientes para que reciban tratamiento en el extranjero. Sin embargo, las necesidades de estos pacientes nos abruman tanto a nosotros como a otras organizaciones de atención médica en Franja de Gaza, y aún queda mucho por hacer para que cientos de pacientes no terminen con consecuencias que les cambien la vida.
 
*Los nombres han sido cambiados
 
Compartir